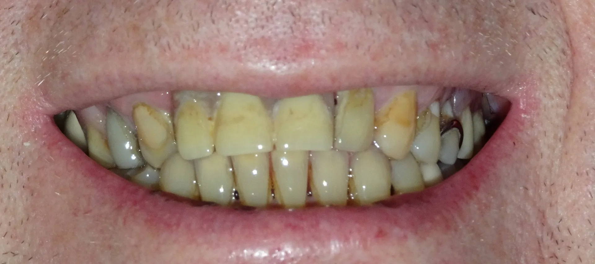
Why Do Teeth Look Yellow After Whitening
Teeth whitening is a popular cosmetic procedure aimed at enhancing the brightness of your smile. However, sometimes, after undergoing teeth whitening, individuals may experience a disappointing result their teeth appearing yellow instead of brilliantly white. This can be frustrating and lead to concerns about the effectiveness of the treatment or the health of the teeth. Understanding why this happens involves delving into the science behind teeth whitening, the potential causes of yellowing, and the remedies available to restore the desired results. Several factors contribute to teeth yellowing after whitening, ranging from the initial condition of the teeth to lifestyle choices and the specific whitening method used. The good news is that, in many cases, the issue is treatable and preventable. This article will explore the common reasons teeth might appear yellow after whitening and offer practical solutions to achieve and maintain a brighter, healthier smile.
The Science Behind Teeth Whitening and Yellowing
Teeth whitening works by using bleaching agents, typically hydrogen peroxide or carbamide peroxide, to penetrate the enamel and dentin layers of the teeth. These agents break down the stains and discolored molecules that cause teeth to appear dull or yellow. The effectiveness of the whitening process depends on the concentration of the bleaching agent, the duration of exposure, and the type of stains present. It’s important to understand that teeth whitening doesn’t permanently alter the structure of the teeth; instead, it addresses the stains accumulated on the surface and within the enamel. However, the natural color of your teeth varies from person to person. Some individuals have naturally whiter enamel, while others have enamel that appears more yellow. The underlying color of the dentin, the layer beneath the enamel, also influences the overall shade of the teeth. Thin enamel can allow the yellow dentin to show through, making teeth appear more yellow, even after whitening. Therefore, the final result of teeth whitening can vary widely, and achieving a perfect, bright white smile isn’t always possible for everyone.
Causes of Yellowing After Whitening

Several factors can contribute to teeth appearing yellow after whitening. These include dietary habits, oral hygiene practices, and changes in the tooth structure itself. Understanding these causes is crucial for addressing the issue effectively and preventing it from happening in the future. The combination of these factors can exacerbate the yellowing effect, making it essential to address each aspect to maintain the desired results. Regular dental check-ups and professional advice can also provide tailored recommendations based on individual circumstances, ensuring the best possible outcome for achieving and maintaining a bright, healthy smile. Let’s explore some of the primary reasons why teeth might look yellow after whitening, so you can better understand how to address the issue and enjoy a confident, brighter smile.
Staining from Food and Drinks
One of the most common culprits behind yellowing teeth is staining from food and drinks. Certain foods and beverages contain chromogens, which are pigments that can adhere to the enamel and cause discoloration. Dark-colored drinks like coffee, tea, red wine, and cola are notorious for staining teeth. Similarly, highly pigmented foods such as berries, soy sauce, and curries can contribute to staining. The porous nature of the enamel allows these pigments to seep in, leading to yellowing over time. Avoiding or minimizing the consumption of these items, especially immediately after teeth whitening, is crucial to preserving the results. Using a straw for drinks can help reduce direct contact with the teeth, and rinsing your mouth with water after consuming staining foods can also mitigate the effects. Regular dental hygiene practices, like brushing and flossing, remove surface stains, helping to prevent them from setting in and causing further discoloration.
Poor Oral Hygiene
Inadequate oral hygiene can also lead to yellowing teeth after whitening. When plaque and tartar build up on the teeth, they can create a rough surface that readily absorbs stains. Additionally, poor oral hygiene allows bacteria to thrive, contributing to enamel erosion and further discoloration. Failing to brush and floss regularly allows stains from food and drinks to accumulate, making the teeth appear yellow. Proper oral hygiene involves brushing at least twice a day with fluoride toothpaste, flossing daily to remove food particles and plaque from between teeth, and using mouthwash to kill bacteria and freshen breath. Regular dental check-ups and professional cleanings are also essential for removing stubborn plaque and tartar that can’t be removed at home. A consistent and comprehensive oral hygiene routine helps maintain the results of teeth whitening and protects against future discoloration, promoting a brighter, healthier smile.
Changes in Tooth Structure

Changes in tooth structure, such as thinning enamel or receding gums, can make teeth appear more yellow. As enamel thins with age or due to factors like excessive teeth grinding or acidic erosion, the underlying yellowish dentin becomes more visible. Receding gums expose the roots of the teeth, which are naturally more yellow than the enamel. These structural changes can impact the overall appearance of your smile after whitening, making the teeth appear yellow even if the surface stains have been removed. Addressing these issues may require more comprehensive dental treatments, such as enamel restoration or gum grafts, to improve both the aesthetics and health of the teeth. Consulting with a dentist is crucial to assess the specific changes in tooth structure and determine the most appropriate course of action to maintain a bright and healthy smile. Maintaining good oral hygiene, avoiding aggressive brushing, and using fluoride treatments can help to protect enamel and prevent further structural changes.
How to Fix Yellow Teeth After Whitening
If your teeth appear yellow after whitening, there are several effective methods to address the issue and restore your desired smile. Depending on the cause and severity of the yellowing, a combination of professional treatments and at-home solutions can be used to achieve optimal results. It’s important to consult with your dentist to determine the best approach for your specific situation. This will ensure you receive personalized care and the most appropriate treatment plan. Remember, maintaining the results of teeth whitening requires ongoing effort and a commitment to good oral hygiene and lifestyle choices. Addressing yellowing after whitening involves various strategies that cater to different causes, offering a pathway to regaining and preserving a bright, healthy smile.
Professional Teeth Whitening Retreatment
In some cases, the yellowing might be due to incomplete whitening or uneven results. A professional teeth whitening retreatment can help to address these issues. Your dentist can use stronger bleaching agents or different whitening techniques to further lighten the teeth. This may involve in-office whitening sessions or custom-made trays for at-home use with professional-strength whitening gel. During a retreatment, the dentist can also assess the underlying causes of the yellowing and address any contributing factors. This ensures that the retreatment is both effective and long-lasting. Professional treatments are generally more effective and safer than over-the-counter options, as the dentist can monitor the process and adjust the treatment based on your teeth’s response. Regular follow-up appointments can help maintain the results and prevent future discoloration, keeping your smile bright and healthy.
At-Home Whitening Solutions

If the yellowing is mild, at-home whitening solutions can be a convenient option. These include over-the-counter whitening toothpastes, strips, and gels. However, these products typically contain lower concentrations of bleaching agents than professional treatments, so the results may be less dramatic. It’s crucial to follow the instructions carefully and be patient, as it may take several weeks to see noticeable changes. For more effective at-home whitening, your dentist may recommend custom-fitted whitening trays. These trays are made to fit your teeth perfectly, ensuring even application of the whitening gel and minimizing sensitivity. Using these trays under dental supervision is often a more effective and safer approach. Always consult with your dentist before starting any at-home whitening regimen to ensure it’s appropriate for your specific situation and to prevent any potential complications. Combining at-home whitening with good oral hygiene practices can help maintain the brightness of your teeth and prevent future yellowing.
Improving Oral Hygiene Practices
Improving your oral hygiene is crucial for addressing yellowing teeth and preventing future discoloration. This involves several key steps: brushing at least twice a day with fluoride toothpaste to remove plaque and surface stains. Flossing daily to eliminate food particles and plaque from between your teeth, where a toothbrush can’t reach. Using mouthwash to kill bacteria, freshen breath, and help prevent plaque buildup. Regular dental check-ups and professional cleanings are also essential. These allow your dentist to remove stubborn plaque and tartar, assess the health of your teeth and gums, and provide personalized advice. A thorough cleaning by a dental hygienist can remove surface stains and polish your teeth, enhancing their brightness. Consistent and thorough oral hygiene practices help maintain the results of teeth whitening and contribute to overall oral health. By adopting a comprehensive oral hygiene routine, you can achieve a brighter smile and prevent future yellowing.
Dietary Adjustments to Prevent Staining
Making dietary adjustments can significantly reduce the risk of teeth staining and help maintain a bright smile after whitening. Limiting the consumption of staining foods and drinks is one of the most effective steps. This includes reducing or avoiding coffee, tea, red wine, cola, berries, soy sauce, and curries. If you do consume these items, rinsing your mouth with water immediately afterward can help reduce the impact of the pigments. Using a straw when drinking dark-colored beverages can minimize contact with your teeth. Eating a diet rich in calcium and vitamin C can also support healthy teeth and gums, as these nutrients strengthen enamel and protect against staining. Incorporating crunchy fruits and vegetables, like apples and carrots, into your diet can act as natural teeth cleaners. They help remove surface stains and stimulate saliva production, which neutralizes acids and washes away food particles. By making mindful dietary choices, you can protect your teeth from staining and maintain the results of your teeth whitening treatment for longer.
In conclusion, experiencing yellow teeth after whitening can be a frustrating setback, but it’s often a manageable issue. By understanding the potential causes of yellowing from staining to oral hygiene practices, and changes in tooth structure, and by adopting appropriate remedies like professional treatments, at-home solutions, and lifestyle adjustments, you can effectively address the issue and restore your brighter smile. Remember to consult with your dentist for personalized advice and treatment plans, and maintain consistent oral hygiene to preserve your results. With a proactive approach to dental care, you can enjoy a confident and dazzling smile for years to come. Always prioritize your oral health and seek professional guidance to maintain the best possible outcome for your teeth whitening efforts.
