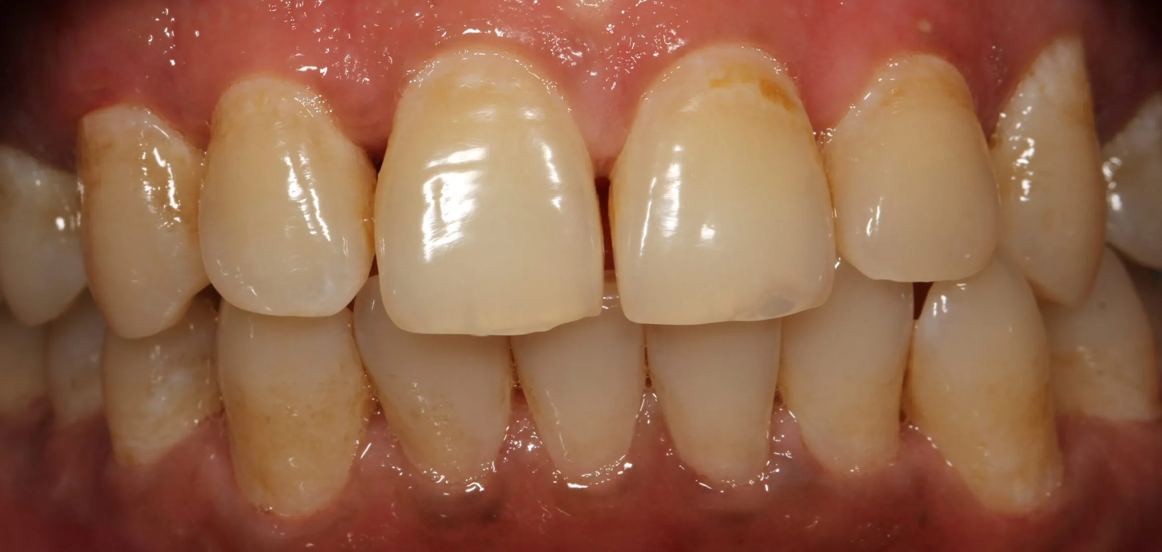
What are White Spots from Whitening Strips?
Whitening strips are a popular method for achieving a brighter smile. However, a common side effect is the appearance of white spots on teeth. These spots, often more noticeable after the whitening process, can be concerning. Understanding what causes these white spots and how to address them is crucial for anyone using whitening strips. White spots, also known as decalcification or enamel mottling, manifest as lighter patches on the tooth surface. These spots result from changes in the enamel’s mineral content and can vary in size and prominence. While usually temporary, knowing their origins helps in managing and minimizing their appearance.
How Do Whitening Strips Cause White Spots?
Whitening strips contain bleaching agents, typically hydrogen peroxide or carbamide peroxide, designed to penetrate the enamel and break down stains. While effective, these agents can also impact the enamel in several ways that lead to white spots. The active ingredients can cause the enamel to dehydrate, leading to temporary changes in its appearance. Furthermore, the bleaching process can exacerbate existing conditions, such as early-stage demineralization, making the white spots more visible. The uneven application of the whitening agent can also contribute to the problem, with some areas of the tooth receiving more exposure than others, resulting in uneven whitening and the appearance of white spots. Knowing the science behind these effects is the first step toward handling the issue.
Top 5 Causes of White Spots After Whitening Strips

Several factors can contribute to the formation of white spots following the use of whitening strips. These causes range from the temporary effects of the whitening process itself to underlying dental conditions that are highlighted by the treatment. Understanding these causes can help you take preventative steps and manage the appearance of white spots effectively. Here are the five main reasons why white spots might appear after using whitening strips, along with solutions for each one, that will help you improve your dental health, and have a beautiful smile without problems.
Enamel Dehydration
One of the most common causes is enamel dehydration. The peroxide in whitening strips draws moisture from the enamel, leading to temporary white spots. This effect is usually reversible, and the spots typically disappear as the teeth rehydrate. This dehydration makes the enamel more porous and reflects light differently, which leads to the spots. While it looks alarming, it is mostly a temporary effect of the whitening process, and should go back to normal after the teeth rehydrate. Drinking water or using a fluoride rinse can help speed up this process and reduce the appearance of the white spots.
How to Identify Enamel Dehydration
Identifying enamel dehydration is straightforward. The white spots appear shortly after using the whitening strips and are often more noticeable immediately after the strips are removed. These spots are usually uniform in appearance and lack the irregular, pitted texture that characterizes other dental issues. Unlike more serious conditions, dehydration-related white spots are temporary, and their prominence tends to diminish within a few hours or days. The even distribution of the spots across the tooth surface is another telltale sign, and they usually appear as the most visible effect of whitening strips treatment.
Treatment for Enamel Dehydration

Treatment for enamel dehydration is simple: rehydration. Drink plenty of water to help your teeth regain moisture. Avoid excessively hot or cold beverages, which can exacerbate sensitivity. Using a fluoride toothpaste or rinse can also strengthen the enamel and aid in rehydration. In most cases, the white spots caused by dehydration will disappear within a few days as the teeth rehydrate naturally. However, if the spots persist or worsen, it’s best to consult a dentist to rule out other underlying conditions.
Tooth Sensitivity
Tooth sensitivity is another potential factor that can make white spots more noticeable. Whitening agents can irritate the nerves in your teeth, making them more sensitive to temperature changes or pressure. This sensitivity can sometimes highlight areas of the enamel that are already slightly weaker or more porous, causing them to appear as white spots. This happens because the bleaching process can cause minor changes in the enamel structure, increasing the visibility of any pre-existing imperfections or variations in the tooth’s mineral composition.
How Tooth Sensitivity Leads to White Spots
Tooth sensitivity can exacerbate the appearance of white spots by causing slight changes in the enamel. The whitening process can temporarily increase the porosity of the enamel, making it easier for the bleaching agents to penetrate the tooth. This enhanced penetration can also highlight areas where the enamel is thinner or has a lower mineral density, resulting in the appearance of white spots. The sensitivity itself can make the teeth feel different, making the contrast between the whitened areas and the spots more pronounced.
Managing Tooth Sensitivity

Managing tooth sensitivity involves several strategies. Use a desensitizing toothpaste containing potassium nitrate, which helps block nerve signals. Avoid consuming extremely hot or cold foods and drinks, as these can trigger sensitivity. Consider using a fluoride rinse to strengthen the enamel and reduce sensitivity. If the sensitivity is severe, consult your dentist, who may recommend a fluoride treatment or other measures to protect the teeth. Adjusting your whitening strip usage, such as reducing the frequency or duration of treatment, can also help alleviate sensitivity and minimize the appearance of white spots.
Fluorosis
Fluorosis is a condition caused by excessive fluoride exposure during tooth development. It results in changes in the enamel, including white spots, streaks, or pitting. While whitening strips do not cause fluorosis, they can make existing fluorosis more visible. The whitening process alters the surface of the enamel, which can make the discolored areas associated with fluorosis more prominent. This is particularly true if the fluorosis is mild, where the spots might become more distinct. The whitening strips, therefore, act to accentuate the existing conditions, making the imperfections more visible.
How Fluorosis Causes White Spots
Fluorosis causes white spots due to the interference of excessive fluoride with the enamel mineralization process during tooth development. This interference results in the formation of porous enamel with a lower mineral content, creating white spots or streaks. The severity of fluorosis depends on the amount and duration of fluoride exposure. In mild cases, the spots may be faint. In severe cases, the spots may be more pronounced with pitting or brown discoloration. Whitening strips do not cause fluorosis, but they can accentuate the appearance of these spots by changing the light reflection properties of the enamel.
Preventing Fluorosis

Preventing fluorosis involves controlling fluoride intake, especially during childhood. Supervise children while brushing their teeth to ensure they use the correct amount of fluoride toothpaste and don’t swallow it. If you live in an area with fluoridated water, consider using bottled water for children. Consult your dentist or pediatrician to assess the appropriate fluoride intake for your child, and to make sure there is no overexposure to fluoride. Regularly check with your dentist and make sure that they are checking for any sign of fluorosis.
Demineralization
Demineralization is the loss of minerals from tooth enamel, which can result in white spots. This is often caused by acid erosion from food, drinks, or bacteria. Whitening strips can exacerbate this condition because the bleaching agents can further weaken the enamel. The peroxide in whitening strips can interact with the already weakened areas, leading to more visible white spots. Demineralization makes the enamel more porous, allowing for deeper penetration of the bleaching agents. This process creates uneven whitening, highlighting the demineralized areas as white spots.
How Demineralization Creates White Spots
Demineralization creates white spots by reducing the mineral content in enamel. This leads to a more porous surface that reflects light differently, making the areas appear white. The process can be initiated by acids from food and bacteria that erode the enamel. Whitening strips then act on these weaker areas and cause uneven whitening. When using the strips, the bleaching agents penetrate the areas with lower mineral density more rapidly, resulting in white spots that stand out against the rest of the tooth surface.
Remineralization Strategies

Remineralization strategies help to restore minerals to the enamel and reduce the appearance of white spots. Use fluoride toothpaste or rinses, as fluoride strengthens the enamel and encourages mineral absorption. Reduce consumption of sugary and acidic foods and drinks, as these contribute to enamel erosion. Consider using products containing calcium phosphate, which can help rebuild enamel. Regular dental check-ups are also essential for monitoring and treating demineralization. Your dentist may recommend professional fluoride treatments or other interventions to protect your teeth.
Poor Application Technique
The way you apply whitening strips can also contribute to the appearance of white spots. Uneven application can lead to areas of the enamel being exposed to the bleaching agent for longer periods, or at higher concentrations, than others. This can cause uneven whitening and the appearance of white spots. This can happen if the strip doesn’t fully cover the tooth’s surface, if the strip is folded or creased, or if there are gaps between the strip and the tooth. The result is the overexposure of enamel in certain areas, leading to white spots. Proper application is key for achieving a consistent and even whitening effect.
How Incorrect Application Causes Spots
Incorrect application of whitening strips can cause white spots by leading to uneven exposure of the enamel to the bleaching agents. If the strip doesn’t fully cover the tooth’s surface, certain areas receive less treatment, while other areas may receive more, causing an uneven effect. Overlapping or folding the strip can concentrate the bleaching agent in specific spots, increasing the likelihood of white spots. Gaps between the strip and the tooth can also result in uneven contact, leading to inconsistent whitening and the appearance of white spots. Proper placement and coverage are essential to ensure a consistent and predictable result.
Correct Whitening Strip Application

To ensure correct application, start by brushing and flossing your teeth before applying the strips. Gently peel the strips from the backing and apply the gel-side to your teeth, aligning them with the gumline. Press the strips firmly against your teeth, ensuring they cover the entire surface without overlapping or folding. If the strips are too long, fold the excess behind your front teeth. Avoid touching your gums, and follow the product’s instructions for the duration and frequency of use. After the treatment, remove the strips, rinse your mouth with water, and avoid eating or drinking for at least 30 minutes.
Pre-existing Conditions
Pre-existing conditions can also be a factor in the appearance of white spots. Conditions such as enamel hypoplasia, which is a defect in enamel formation, can cause white spots or discoloration. Whitening strips do not cause these conditions, but they can make them more visible. Areas with weaker enamel are more susceptible to the effects of whitening agents. As a result, pre-existing imperfections become more noticeable after treatment. Whitening strips can also make spots that are barely visible to the naked eye, become more prominent as the contrast between the whitened areas and the pre-existing imperfections increases.
Identifying Pre-existing Conditions
Identifying pre-existing conditions starts with a thorough dental examination. Your dentist will look for signs of enamel hypoplasia, fluorosis, or other conditions that might cause white spots. They can also assess the overall health of your enamel and identify any areas of weakness or demineralization. If you notice any unusual spots or discoloration before using whitening strips, it’s important to consult your dentist for a professional opinion. They can accurately diagnose the cause and recommend appropriate treatment, so the whitening process is more effective and doesn’t make the problem worse.
Consulting with a Dentist
Consulting with a dentist is vital if you experience white spots or have any concerns about your teeth after using whitening strips. Your dentist can diagnose the cause of the spots and recommend an appropriate treatment plan. They can also assess the overall health of your teeth and gums. They can advise on the best whitening method for your particular situation. Regular dental check-ups are essential to monitor your oral health, and to address any potential issues before they become more serious. They can offer valuable guidance on how to maintain a healthy and beautiful smile.
Conclusion Avoid White Spots After Whitening Strips
White spots after using whitening strips can be a common concern, but understanding their causes can empower you to take preventive steps and manage their appearance. By recognizing the factors such as enamel dehydration, tooth sensitivity, fluorosis, demineralization, poor application technique, and pre-existing conditions, you can make informed decisions. Following proper application techniques, using fluoride-rich products, and consulting with your dentist can help reduce the risk of white spots. Remember, a beautiful smile is achievable with the right care and understanding. Prioritizing your oral health and using whitening strips responsibly can help you achieve your desired results while minimizing the potential for unwanted side effects.
