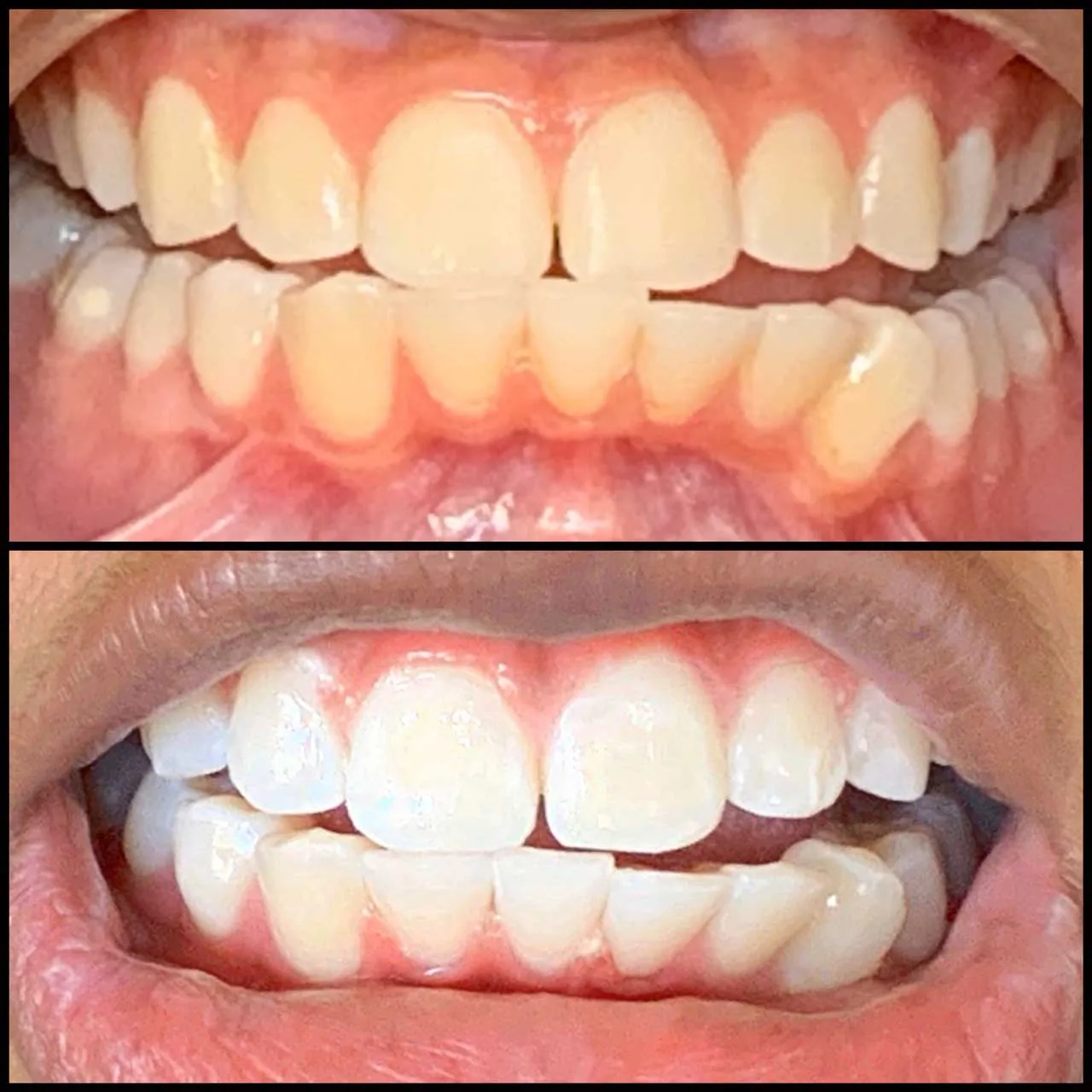
What is Teeth Whitening
Teeth whitening, also known as teeth bleaching, is a cosmetic dental procedure designed to lighten the shade of your teeth. It involves removing stains and discoloration from the enamel, resulting in a brighter, more youthful smile. The process can be done professionally by a dentist or at home using over-the-counter products. The effectiveness of teeth whitening depends on the type and severity of the stains, as well as the chosen whitening method. Whether you’re looking to get rid of coffee stains, aging discoloration, or simply want a brighter smile, teeth whitening in Temecula CA offers a range of solutions to meet your needs. The goal is always the same: to enhance your smile and boost your confidence. Remember to always consult with a dental professional before beginning any teeth whitening treatment to ensure it is safe and effective for your specific situation.
Why Consider Teeth Whitening
There are numerous reasons why individuals in Temecula, CA, might consider teeth whitening. Discoloration of teeth can be caused by various factors, including aging, genetics, diet, and lifestyle choices. Consuming staining foods and drinks like coffee, tea, red wine, and certain fruits can gradually darken the enamel. Tobacco use is another significant contributor to tooth discoloration. Furthermore, some medications and medical treatments can also affect the shade of your teeth. In addition to these external factors, the natural aging process can cause teeth to become less vibrant over time. Teeth whitening offers a way to combat these effects, restoring a brighter, more youthful appearance to your smile. It is a relatively quick and effective way to significantly improve your overall look and self-esteem. Moreover, professional teeth whitening in Temecula can often address stains that at-home methods may not be able to effectively remove, providing superior results.
Benefits of Teeth Whitening

The benefits of teeth whitening extend far beyond aesthetics. A brighter smile can have a profound impact on various aspects of your life. Teeth whitening can boost confidence and enhance your overall appearance, but also influences your social and professional interactions. A brighter smile often makes you feel more approachable and confident, which can lead to better first impressions. Professional teeth whitening in Temecula, CA, offers more than just a cosmetic upgrade; it can lead to a better self-image. By improving your smile, teeth whitening can positively impact your self-esteem and encourage you to engage more confidently in both personal and professional settings. The procedure is also relatively quick and non-invasive, making it an appealing option for those seeking to enhance their smiles without major dental work. With various options available, from in-office treatments to take-home kits, it’s easy to find a teeth whitening solution that fits your needs and lifestyle.
Boost Confidence
One of the most significant benefits of teeth whitening is the boost in confidence it provides. A brighter smile is often associated with youth, health, and attractiveness, which can significantly improve your self-esteem. When you feel good about your smile, you are more likely to feel confident in social situations, during job interviews, and in your daily interactions. Studies have shown a direct correlation between a person’s smile and their self-perception and how others perceive them. Teeth whitening can transform a dull, stained smile into a radiant one, helping you feel more comfortable and self-assured. This increased confidence can have a ripple effect, positively influencing your professional and personal life. It can lead to increased opportunities, stronger relationships, and a greater sense of overall well-being. For those seeking to enhance their self-image and feel better about themselves, teeth whitening is a valuable option that delivers lasting results.
Improved Appearance
Beyond boosting confidence, teeth whitening significantly improves your overall appearance. A bright, white smile can make you look younger, healthier, and more vibrant. Discolored teeth can make a person appear older, while a sparkling smile conveys a sense of vitality. Teeth whitening effectively reverses these effects, enhancing your overall appearance and creating a more youthful look. The procedure can remove years of accumulated stains, making your smile a focal point of attractiveness. Moreover, a whiter smile can complement your skin tone and facial features, making your entire face appear more radiant. With the wide array of teeth whitening options available in Temecula, CA, achieving a brighter smile is easier than ever. Whether it’s a professional in-office treatment or a convenient take-home kit, the results can be transformative, improving not only your smile but also your overall aesthetic appeal.
How to Get Teeth Whitening in Temecula CA

Getting teeth whitening in Temecula, CA, involves several steps, starting with a consultation with a qualified dental professional. During the consultation, the dentist will assess your oral health, determine the cause and extent of your tooth discoloration, and discuss your goals and expectations. This thorough evaluation ensures that teeth whitening is a suitable and safe option for you. Next, you’ll explore the various teeth whitening options available, including in-office treatments, take-home kits, and over-the-counter products. Your dentist will recommend the most appropriate method based on your specific needs and preferences. The process may also involve pre-whitening procedures like a professional cleaning to remove plaque and surface stains. Depending on the chosen method, you’ll either undergo the whitening procedure in the dentist’s office or receive instructions and materials to whiten your teeth at home. Following the procedure, it’s important to adhere to post-whitening care instructions, such as avoiding staining foods and drinks, to maintain your bright, new smile. Regular check-ups are also necessary to monitor the results and address any potential issues.
Professional Teeth Whitening Options
Professional teeth whitening options in Temecula, CA, provide the most effective and controlled methods for achieving a brighter smile. These treatments are administered by licensed dental professionals and offer several advantages over at-home methods. Professional treatments use higher concentrations of bleaching agents, which can effectively remove deep stains and discoloration. This results in faster and more dramatic results compared to over-the-counter products. Moreover, dentists can customize the whitening treatment to suit your individual needs and oral health conditions. They can also monitor your progress and address any potential side effects or sensitivities. There are two main types of professional teeth whitening options in Temecula in-office whitening and take-home whitening kits. Both are designed to deliver superior results, ensuring a safe and effective teeth whitening experience. Consulting a dentist in Temecula, CA, is the first step towards determining the best professional teeth whitening option for your specific situation.
In-Office Whitening
In-office teeth whitening is the fastest and most effective way to achieve a dramatically brighter smile. The procedure is performed by a dental professional in a controlled environment, ensuring both safety and optimal results. In Temecula, CA, the process typically involves the application of a high-concentration bleaching agent to your teeth, which is then activated using a special light or laser. This activation process accelerates the whitening effect, resulting in significant improvements in just one session. The entire procedure usually takes about an hour, making it a convenient option for those seeking immediate results. One of the key benefits of in-office whitening is the ability to achieve multiple shades lighter in a single visit. Your dentist can also address any sensitivity issues and provide personalized aftercare instructions to help you maintain your new bright smile. This professional approach ensures that your teeth whitening experience is both effective and comfortable, delivering a radiant smile in a short amount of time.
Take-Home Whitening Kits

Take-home teeth whitening kits provide a convenient and flexible alternative to in-office treatments. In Temecula, CA, dentists often offer custom-made kits tailored to your specific needs. The process typically begins with your dentist taking impressions of your teeth to create custom-fitted trays. These trays ensure that the whitening gel comes into proper contact with your teeth, minimizing the risk of gum irritation. You will then be provided with a whitening gel to apply to the trays and wear for a specified amount of time each day, as directed by your dentist. The duration and frequency of use will depend on the strength of the gel and the degree of whitening desired. Take-home kits offer the advantage of being more affordable than in-office treatments while still delivering significant results. It also allows you to whiten your teeth at your own pace, fitting the treatment into your busy schedule. Regular check-ups with your dentist are still essential to monitor your progress and address any concerns, ensuring a safe and effective teeth whitening experience.
Teeth Whitening Cost
The cost of teeth whitening in Temecula, CA, can vary widely depending on the type of treatment you choose, the severity of your discoloration, and the dental practice you visit. In-office whitening treatments are generally the most expensive option, as they involve the expertise of a dental professional and advanced equipment. Take-home whitening kits are usually more affordable. The price can also be influenced by the number of sessions required and any additional services, such as pre-whitening cleanings or custom-fitted trays. Over-the-counter products are typically the least expensive option, but they may not deliver the same dramatic results and can sometimes be less effective. Before beginning any teeth whitening treatment, it’s essential to discuss the costs with your dentist and understand what the price includes. The investment in teeth whitening is often seen as worthwhile due to the transformative impact it can have on your smile and overall confidence. Consider factors such as the quality of the products used, the experience of the dental professional, and the overall results. In Temecula, CA, there are options to suit different budgets, ensuring everyone can have access to a brighter smile.
Factors Affecting the Cost
Several factors influence the cost of teeth whitening procedures in Temecula, CA. The type of treatment is the primary determinant. In-office whitening, with its immediate results and professional supervision, generally costs more than take-home kits or over-the-counter options. The dental practice’s location and reputation can also impact the price. Practices in more affluent areas or with established reputations may charge higher fees. The complexity of the case is another factor. If your teeth have significant discoloration or staining, you might need more sessions or a more potent whitening agent, which can increase the overall cost. The need for pre-whitening procedures, such as a professional cleaning, will also add to the expense. In addition, the materials and technology used by the dental practice play a role. Some practices invest in advanced equipment and high-quality whitening products, which can affect the final cost. Discussing these factors with your dentist during the consultation will help you understand the total costs involved and choose the best option for your needs and budget.
Insurance Coverage

Teeth whitening is generally considered a cosmetic procedure and is typically not covered by dental insurance plans in Temecula, CA. Most insurance policies do not cover elective treatments like teeth whitening, as they are not deemed medically necessary. However, it’s always best to check with your insurance provider to verify your specific coverage. In some rare cases, if tooth discoloration is caused by an underlying medical condition or trauma, your insurance might provide partial coverage. If you are considering teeth whitening, be prepared to pay out of pocket. However, many dental practices offer flexible payment options and financing plans to make the procedure more accessible. You might also consider a dental savings plan, which provides discounted rates on various dental treatments, including teeth whitening. When discussing the treatment plan with your dentist, be sure to inquire about payment options to find a plan that fits your budget. Although insurance coverage for teeth whitening is limited, the investment in a brighter smile can be a worthwhile one for many individuals seeking to enhance their appearance and boost their confidence.
Home Remedies for Teeth Whitening
While professional teeth whitening offers the most dramatic results, several home remedies can help lighten your teeth and maintain a brighter smile. These methods often involve readily available ingredients and are generally less expensive than professional treatments. However, it’s important to note that home remedies may not be as effective for significant discoloration and that some can potentially cause harm if used improperly. One popular home remedy is brushing with baking soda, which can help remove surface stains. Another option is using hydrogen peroxide, but it should be used with caution, as it can irritate the gums. Some people also try brushing with activated charcoal, which is believed to absorb stains, although its effectiveness is debated. Oil pulling with coconut oil is also suggested by some for its potential benefits. Before trying any home remedies, it’s essential to consult with your dentist in Temecula, CA. They can advise you on the safety and effectiveness of these methods for your specific situation and ensure they don’t interfere with any other dental treatments you might be undergoing. They can also provide professional advice to guarantee you the best outcome.
Over-the-Counter Whitening Products
Over-the-counter (OTC) teeth whitening products offer a convenient and affordable alternative to professional treatments, available in various forms, including whitening toothpaste, strips, and gels. These products typically contain lower concentrations of bleaching agents than professional treatments, which means they are generally safer for home use. Whitening toothpaste helps remove surface stains, while whitening strips and gels can penetrate the enamel to lighten your teeth. Before using any OTC whitening product, it’s essential to read and follow the instructions carefully to avoid potential side effects or damage to your teeth and gums. While OTC products can improve the brightness of your smile, their effectiveness depends on the type and severity of your stains, as well as the product’s potency. In Temecula, CA, you can find a wide variety of OTC teeth whitening options in pharmacies and stores. Consulting with your dentist can help you choose the most effective and safe product for your specific needs and ensure it complements your overall oral health plan. Despite their convenience, OTC products may not be suitable for everyone. Professional teeth whitening can achieve superior results and is often recommended for those with more significant discoloration or sensitivity concerns.
Teeth Whitening Safety Tips

Ensuring the safety of teeth whitening is paramount to protecting your oral health. Before undergoing any whitening procedure, it’s essential to consult with your dentist in Temecula, CA, to determine if it’s a suitable option for you and address any potential concerns. They can assess your oral health and rule out any underlying issues that might make whitening unsafe. Always follow your dentist’s instructions or the product’s directions carefully to minimize the risk of side effects. Avoid excessive use of whitening products, as this can lead to tooth sensitivity and gum irritation. When using at-home treatments, be sure to use the correct amount of product and wear the trays for the recommended duration. Make sure you choose products that have been approved by a recognized authority such as the American Dental Association (ADA). Regular dental check-ups and cleanings are also essential for maintaining a healthy smile and monitoring the effects of your whitening treatment. Inform your dentist about any sensitivity issues or discomfort you experience during or after the treatment so they can provide appropriate guidance.
Potential Side Effects
Although teeth whitening is generally safe, there are potential side effects to be aware of. The most common side effect is tooth sensitivity, which can range from mild discomfort to sharp, shooting pains. This sensitivity typically occurs during the whitening process and usually subsides shortly after treatment. Gum irritation is another potential side effect, especially if the whitening agent comes into contact with the gums for too long. This can lead to redness, swelling, and tenderness. In rare cases, some individuals may experience more severe side effects, such as changes in tooth enamel or irritation to the soft tissues of the mouth. These issues are less likely with professional treatments, as dentists can take steps to minimize risks. If you experience any side effects, especially persistent ones, it’s crucial to consult your dentist immediately. They can assess the situation and recommend solutions. By following your dentist’s guidance and carefully adhering to the instructions, you can minimize the risk of side effects and enjoy a brighter, healthier smile.
Consult Your Dentist
Consulting with your dentist in Temecula, CA, is a crucial step before considering any teeth whitening treatment. A dental professional can assess your oral health, determine the cause and severity of any discoloration, and recommend the most appropriate and safe whitening options for your specific needs. They can identify any underlying dental issues, such as cavities or gum disease, that need to be addressed before you start whitening. Your dentist will also explain the different types of whitening procedures available, discuss the potential benefits and risks, and help you set realistic expectations. They can also take the impressions needed for custom-fitted trays if you choose a take-home kit. In addition to providing professional advice, your dentist can monitor your progress and address any sensitivity or other side effects you might experience. Regular check-ups and consultations with your dentist are also essential for maintaining long-term oral health and a beautiful smile. By working with your dentist, you can ensure that your teeth whitening experience is safe, effective, and tailored to your individual requirements.
Maintaining Your Bright Smile

Maintaining your bright, white smile after teeth whitening requires consistent care and attention. Following the post-whitening care instructions provided by your dentist in Temecula, CA, is essential for long-lasting results. Avoiding or minimizing the consumption of staining foods and drinks, such as coffee, tea, red wine, and dark berries, can help prevent discoloration. If you do consume these items, rinse your mouth with water or brush your teeth afterward to minimize staining. Regular dental check-ups and cleanings are vital for removing surface stains and maintaining the brightness of your teeth. Your dentist can also provide professional maintenance treatments to help keep your smile looking its best. Using a whitening toothpaste or mouthwash can help remove surface stains and maintain your results. It is important to practice good oral hygiene, including brushing your teeth twice a day and flossing daily, to keep your mouth healthy. By implementing these practices, you can enjoy a beautiful, bright smile for years to come, maximizing the benefits of your teeth whitening treatment and boosting your overall confidence.
