Are you looking to brighten your smile and boost your confidence? Teeth whitening in Milpitas CA offers a fantastic solution for achieving a dazzling and more youthful appearance. Beyond the aesthetic enhancements, teeth whitening offers a multitude of benefits that can significantly improve your overall well-being. This article will explore the top 5 benefits of teeth whitening in Milpitas CA, helping you understand why this popular cosmetic procedure might be the perfect choice for you. From enhancing your self-esteem to improving your oral health, discover how teeth whitening can transform your smile and your life.
Top 5 Benefits of Teeth Whitening in Milpitas CA
Enhanced Confidence & Self-Esteem
One of the most immediate and significant benefits of teeth whitening is a boost in confidence and self-esteem. A bright, white smile can have a profound impact on how you perceive yourself and how others perceive you. Many people feel more self-assured and comfortable in social situations after undergoing teeth whitening. This newfound confidence can extend to all areas of your life, from personal relationships to professional endeavors. A brighter smile can make you feel more approachable, friendlier, and more willing to engage with the world.
The Psychological Impact of a Bright Smile

The psychological benefits of a bright smile are well-documented. Studies have shown that a brighter smile can improve your mood, reduce stress, and increase feelings of happiness. A confident smile can also make you feel more in control and capable in various situations. When you feel good about your smile, you’re more likely to project a positive image to the world, leading to more positive interactions and experiences.
Boosting First Impressions
First impressions are crucial, and your smile is often the first thing people notice about you. A bright, white smile can make a powerful first impression, signaling health, youthfulness, and approachability. People with whiter teeth are often perceived as more successful, intelligent, and friendly. This can be especially beneficial in professional settings, helping you make a positive impact during interviews, meetings, and networking events. Teeth whitening can provide the aesthetic advantage that makes a memorable and positive first impression.
Improved Social Interactions
Having a beautiful smile can significantly improve your social interactions. People with whiter teeth tend to smile more often and feel more comfortable laughing and engaging in conversations. A bright smile can help you build stronger relationships, both personally and professionally. Smiling is a universal sign of friendliness and can make you more approachable, encouraging others to connect with you. Teeth whitening can help you feel more at ease in social settings, leading to more fulfilling interactions and a more active social life.
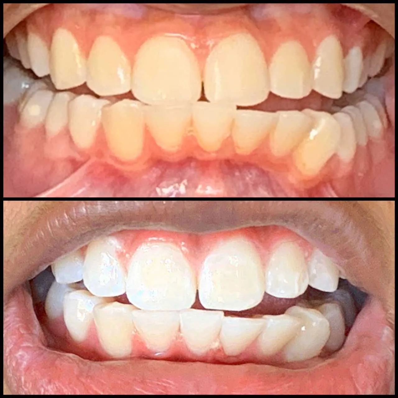
Removal of Stains & Discoloration

Teeth whitening is highly effective at removing stains and discoloration caused by various factors. Over time, your teeth can accumulate stains from foods, drinks, and habits such as smoking. Teeth whitening treatments use bleaching agents to break down these stains, restoring your teeth to their natural whiteness or even lightening them beyond that shade. This process can dramatically improve the appearance of your smile and make you feel more confident.
Types of Stains Teeth Whitening Addresses
Teeth whitening effectively addresses a wide range of stains. Extrinsic stains, which are on the surface of the teeth, are often caused by foods, drinks, and tobacco use. Common culprits include coffee, tea, red wine, and dark-colored berries. Intrinsic stains, which are deeper within the tooth structure, can be caused by aging, genetics, medications, and dental trauma. Professional teeth whitening treatments can tackle both types of stains, providing a comprehensive solution for a brighter smile. Consulting a dentist in Milpitas CA will help determine the best approach for your specific type of staining.
Foods and Drinks That Cause Stains
Many foods and drinks contain pigments that can stain your teeth over time. Coffee and tea are notorious for causing discoloration, as are red wine and dark-colored sodas. Certain fruits and vegetables, such as blueberries, blackberries, and beets, can also contribute to staining. Tobacco use, whether smoking or chewing, is another major cause of tooth discoloration. Reducing your consumption of these stain-causing substances and practicing good oral hygiene can help minimize staining and maintain a brighter smile. Regular teeth whitening can also counteract these effects and keep your teeth looking their best.
Whitening vs. Other Cosmetic Treatments

While teeth whitening is an excellent option for many, it’s important to understand its limitations and compare it to other cosmetic treatments. Whitening primarily addresses stains and discoloration, but it may not be suitable for all types of dental issues. For example, if you have severe intrinsic stains or other structural problems, treatments like veneers or dental bonding might be more appropriate. Veneers are thin shells that cover the front surface of your teeth, providing a complete cosmetic makeover. Bonding involves applying a tooth-colored resin to repair or reshape teeth. Consult with a dentist in Milpitas CA to determine which treatment best suits your needs and goals.
Non-Invasive & Painless Procedure
One of the major advantages of teeth whitening is that it is a non-invasive and generally painless procedure. Unlike more complex dental treatments, teeth whitening typically involves minimal discomfort. Both in-office and at-home treatments are designed to be gentle and effective. While some people may experience temporary sensitivity, especially after the treatment, it usually subsides within a few days. This makes teeth whitening a popular choice for those seeking a cosmetic enhancement without extensive dental work or recovery time.
Comparing Professional Whitening to DIY Kits
When considering teeth whitening, you have the option of professional treatments at a dental office or over-the-counter (OTC) DIY kits. Professional whitening, performed by a dentist in Milpitas CA, typically uses stronger bleaching agents and can provide faster and more dramatic results. Dentists can also monitor your teeth for sensitivity and ensure the treatment is safe and effective for your specific needs. DIY kits, on the other hand, are generally less expensive and more accessible. However, they may not be as effective and could potentially cause uneven whitening or sensitivity if not used correctly. Consulting with a dentist can help you determine the best approach for your desired results.
Understanding the Sensitivity Factor

Teeth whitening can sometimes cause temporary tooth sensitivity. This is a common side effect and usually disappears within a few days. The sensitivity occurs because the bleaching agents used in whitening treatments can penetrate the enamel and reach the dentin, the layer beneath the enamel. This can irritate the nerve endings in your teeth. To minimize sensitivity, your dentist may recommend using a desensitizing toothpaste before and after the treatment, or they may adjust the strength of the whitening solution. Following your dentist’s instructions is crucial for managing any sensitivity and ensuring a comfortable experience.
Boosts Oral Health
Beyond the aesthetic benefits, teeth whitening can also indirectly contribute to better oral health. When you invest in your smile, you’re often motivated to improve your oral hygiene habits. Regular brushing, flossing, and dental check-ups are essential for maintaining a bright smile and overall oral health. Teeth whitening can serve as a catalyst for adopting healthier habits, leading to a reduced risk of cavities, gum disease, and other dental problems.
Motivating Better Oral Hygiene Habits
A whiter smile often inspires better oral hygiene habits. After investing in teeth whitening, you’re more likely to be diligent about brushing twice a day, flossing daily, and attending regular dental check-ups. These habits are essential for maintaining your bright smile and preventing future stains. Your dentist can also provide personalized advice on the best oral hygiene practices for your specific needs, including recommending specific toothpastes, mouthwashes, and flossing techniques. Maintaining good oral hygiene will not only keep your teeth white but also improve your overall health.
Identifying Potential Oral Health Issues

During a teeth whitening consultation, your dentist will examine your teeth and gums for any underlying issues. This can include identifying cavities, gum disease, or other dental problems. Addressing these issues before or during the whitening process ensures that you achieve the best possible results and protects your oral health. Regular dental check-ups are crucial for early detection and treatment of dental problems. Teeth whitening can be part of a broader oral health plan, helping you maintain a healthy and beautiful smile for years to come.
Quick & Convenient Process
Teeth whitening is a relatively quick and convenient process, especially when performed by a professional. In-office whitening treatments can be completed in a single appointment, often within an hour or two. At-home treatments typically require a few weeks of consistent use, but they offer the flexibility to whiten your teeth at your own pace. The convenience of teeth whitening makes it an accessible option for busy individuals who want to improve their smile without extensive time commitments.
Comparing In-Office vs. At-Home Treatments
Both in-office and at-home teeth whitening treatments have their advantages. In-office treatments offer the advantage of immediate results and the supervision of a dental professional. The dentist can use stronger bleaching agents and tailor the treatment to your specific needs. At-home treatments, on the other hand, are more affordable and convenient, allowing you to whiten your teeth in the comfort of your own home. Your dentist can provide custom-fitted trays and professional-strength whitening gels for optimal results. The best choice for you will depend on your budget, time constraints, and desired level of convenience. Consulting with a dentist in Milpitas CA will help you make the right decision.
What to Expect During a Teeth Whitening Session

If you choose in-office teeth whitening, you can expect a comfortable and efficient process. Your dentist will first examine your teeth and gums to ensure you’re a good candidate for the procedure. They’ll then clean your teeth to remove any surface stains. A protective barrier will be applied to your gums to prevent irritation. The whitening agent will be applied to your teeth, and a special light may be used to enhance the whitening process. The entire procedure typically takes about an hour. With at-home treatments, you’ll receive custom-fitted trays and whitening gel to use at home, following your dentist’s instructions.
In conclusion, teeth whitening in Milpitas CA offers numerous benefits that extend far beyond a brighter smile. From boosting your confidence and enhancing your social interactions to improving your oral health and providing a quick and convenient solution, teeth whitening is a worthwhile investment in your overall well-being. If you’re considering teeth whitening, consult with a qualified dentist in Milpitas CA to discuss your options and determine the best approach for achieving a radiant and healthy smile. Embrace the power of a brighter smile and transform your life today!
