What is a Dead Tooth
A dead tooth, also known as a non-vital tooth, is a tooth where the pulp, which contains the nerves and blood vessels inside the tooth, has died. This usually happens due to trauma, severe decay, or infection. When the pulp dies, the tooth loses its blood supply, which leads to the loss of sensation and can cause the tooth to darken. The discoloration can range from a yellowish hue to a dark grey or black. It’s important to address a dead tooth promptly to prevent further complications, such as infection or abscess formation. The process involves removing the dead pulp and restoring the tooth’s appearance and function. In the UK, various treatments are available to address this issue, and understanding the causes, symptoms, and available methods is crucial for effective management.
Causes of a Dead Tooth
Several factors can lead to a tooth dying. One of the most common causes is severe tooth decay. When decay reaches the pulp, it can cause an infection that eventually kills the nerves and blood vessels. Another significant cause is trauma. A sudden impact to the tooth, such as from a sports injury or a fall, can damage the pulp and cut off its blood supply. This can happen even if there is no visible damage to the tooth at the time of the injury. In some cases, dental procedures, such as multiple fillings or extensive crown preparations, can irritate the pulp and lead to its demise. Additionally, teeth grinding (bruxism) can put excessive pressure on the teeth, potentially causing damage to the pulp over time. Understanding the underlying cause is critical for determining the most appropriate treatment approach in the UK.
Symptoms of a Dead Tooth

The symptoms of a dead tooth can vary, but some common signs include tooth discoloration, pain, and sensitivity. Initially, the tooth might appear slightly darker than the surrounding teeth. As the pulp dies, the discoloration becomes more pronounced, often progressing to a grey or black hue. Pain, if present, can range from mild discomfort to severe, throbbing pain, particularly when biting or chewing. Sensitivity to hot or cold foods and drinks is another frequent symptom, especially in the early stages. Sometimes, there may be no pain at all, especially if the nerve has already died. Other signs can include swelling around the tooth, a bad taste in the mouth, or the presence of a pimple-like bump on the gums near the affected tooth. If you experience any of these symptoms, it’s essential to consult a dentist in the UK as soon as possible to assess the situation and determine the appropriate course of action.
UK Dead Tooth Whitening Methods
In the UK, several methods are available to address the discoloration of a dead tooth and restore its appearance. The best approach depends on the extent of the damage, the overall health of the tooth, and the patient’s preference. The primary goal is to remove the source of discoloration, strengthen the tooth, and improve its aesthetics. These methods range from internal bleaching to more permanent solutions like crowns. Each option has its own set of advantages, costs, and procedures. Consulting with a qualified dentist is essential to determine the most appropriate method for your specific needs and to understand the associated risks and benefits. The following sections explore the top methods used in the UK to treat dead teeth, providing you with the information you need to make an informed decision.
Root Canal Treatment
Root canal treatment is a common procedure used to save a dead or infected tooth. The process involves removing the infected or dead pulp from the tooth’s canals, cleaning and disinfecting the canals, and then filling and sealing them. This removes the source of infection and prevents further spread. After the root canal, the tooth becomes non-vital but can still be functional if properly restored. The dentist will often place a filling in the access cavity. For increased durability, particularly in back teeth, a crown may be recommended to protect the weakened tooth from fracture. Root canal treatment is a highly effective way to save a dead tooth and can prevent the need for extraction. The procedure is performed under local anesthesia, ensuring minimal discomfort for the patient. The duration and complexity of the treatment vary depending on the number of canals in the tooth and the severity of the infection. It is a common and well-established procedure within the UK dental community.
Internal Bleaching

Internal bleaching, also known as walking bleach, is a specific technique used to whiten a dead tooth from the inside. This method is often used after a root canal treatment to address the discoloration that can remain even after the pulp has been removed. The process involves placing a bleaching agent, usually hydrogen peroxide or sodium perborate, inside the tooth and sealing it. The bleaching agent is left in place for a period of time, typically a few days to a week, allowing it to penetrate the dentin and lighten the tooth from within. Several applications may be needed to achieve the desired shade. Internal bleaching is an effective and relatively conservative approach to whitening a dead tooth, and it can often be performed in the dental practice. The dentist will closely monitor the tooth throughout the process and assess the results at each stage. This method provides a non-invasive way to improve the appearance of a dead tooth and restore your smile.
Dental Crowns
A dental crown, sometimes called a cap, is a tooth-shaped restoration that covers the entire visible portion of a tooth. Crowns are a popular option for restoring the appearance and function of a dead tooth, especially if the tooth is significantly damaged or weakened. The process involves the dentist preparing the tooth by reshaping it to accommodate the crown. An impression of the prepared tooth and the surrounding teeth is then taken, and this is used to create a custom-made crown. Crowns can be made from various materials, including porcelain, ceramic, or a combination of metal and porcelain. Porcelain and ceramic crowns offer the most natural appearance, as they can be matched to the shade of the adjacent teeth. Once the crown is ready, it is cemented onto the prepared tooth, providing a durable and aesthetically pleasing restoration. Dental crowns offer long-lasting results and can significantly improve the appearance of a dead tooth, protecting it from further damage.
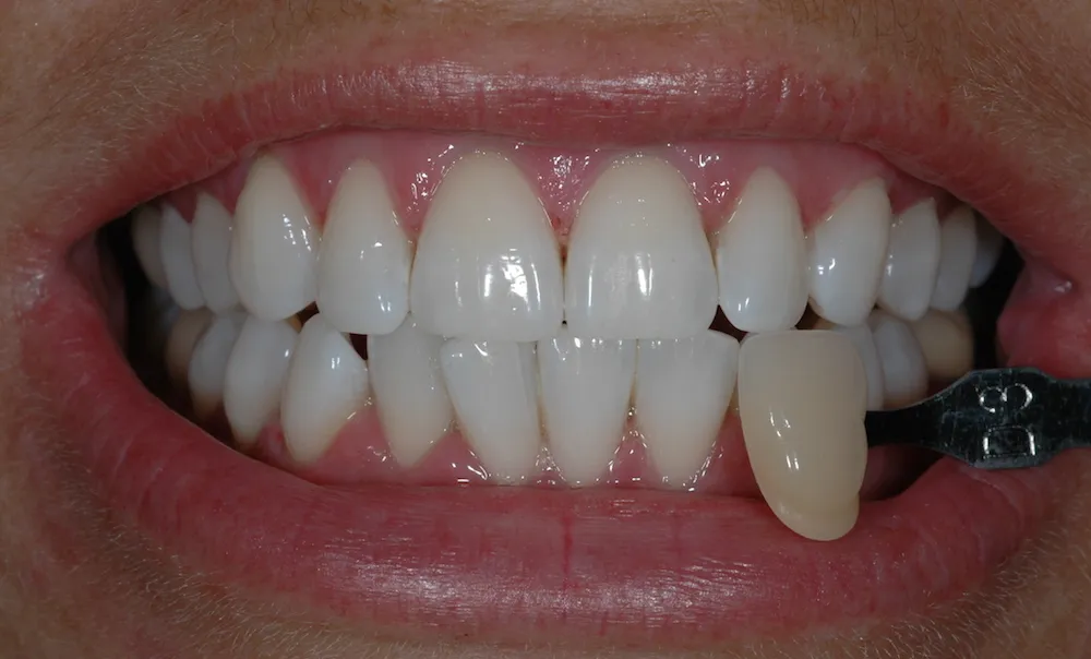
Teeth Whitening Products
While over-the-counter teeth whitening products are widely available in the UK, their effectiveness on a dead tooth is often limited. These products, such as whitening strips and gels, work by removing surface stains and can improve the overall brightness of your teeth. However, they typically do not penetrate the tooth structure deep enough to address the discoloration caused by a dead pulp. Internal bleaching, performed by a dentist, is generally the preferred method for whitening a dead tooth because it targets the internal stains directly. However, in some cases, over-the-counter products can be used in conjunction with other treatments to enhance the overall whitening effect. It’s essential to consult with your dentist before using any teeth whitening products if you have a dead tooth to ensure the product is safe and appropriate for your condition. The dentist can provide guidance on the best options to achieve your desired results.
Choosing the Right Method for You

Choosing the right method for dead tooth whitening in the UK depends on various factors, including the extent of the tooth damage, the cause of the discoloration, and your overall dental health. Your dentist will assess your tooth and recommend the most suitable treatment option based on your individual needs. For instance, if the tooth is severely decayed or damaged, a crown might be the best option to restore its function and appearance. If the discoloration is mainly internal, internal bleaching may be sufficient to lighten the tooth. Root canal treatment is typically necessary if the pulp is infected or dead to eliminate the source of infection. The dentist will also consider your aesthetic goals and discuss the potential outcomes of each treatment. It’s crucial to have a thorough discussion with your dentist about the pros and cons of each method, the expected results, and the associated costs. Making an informed decision based on professional advice ensures the best possible outcome for your oral health and your smile.
Consulting with a Dentist
Consulting with a dentist is the most crucial step in addressing a dead tooth. A qualified dentist can accurately diagnose the condition, determine the underlying cause, and recommend the most appropriate treatment plan. During the consultation, the dentist will examine your tooth, take X-rays if needed, and discuss your medical history and any concerns you may have. They will explain the available treatment options, such as root canal treatment, internal bleaching, or crowns, and discuss the potential benefits and risks of each. You should use this opportunity to ask questions, express your preferences, and gain a clear understanding of the treatment process. The dentist will also provide an estimated cost and timeline for the treatment. Choosing a dentist in the UK who has experience in treating dead teeth and performing the recommended procedures is essential. Ask for recommendations, read reviews, and ensure the dentist is registered with the General Dental Council (GDC) to ensure you receive high-quality care.
Cost of Dead Tooth Whitening in the UK
The cost of dead tooth whitening in the UK varies depending on the chosen method and the complexity of the procedure. Factors affecting the price include the type of treatment, the dentist’s fees, and the materials used. For instance, the cost of internal bleaching is generally less than the cost of a dental crown. Root canal treatment, which is often a prerequisite for other whitening methods, also adds to the overall cost. Prices can vary significantly depending on the location within the UK, with treatments in London and other major cities often being more expensive. It’s essential to discuss the costs upfront with your dentist and ask for a detailed breakdown of the expenses. Some dental insurance plans may cover a portion of the cost, especially if the treatment is deemed medically necessary. Consider obtaining quotes from different dental practices to compare prices and ensure you’re getting a fair deal. Remember, the goal is to find a balance between affordability and the quality of care, focusing on long-term oral health and the effectiveness of the treatment.
Aftercare and Maintenance

After receiving dead tooth whitening treatment in the UK, proper aftercare and maintenance are essential to ensure the longevity of the results and maintain good oral health. Following your dentist’s instructions is crucial, which may include avoiding certain foods and drinks that can stain your teeth, such as coffee, tea, red wine, and dark-colored berries, for a period after the procedure. Regular dental check-ups and professional cleanings are also essential to monitor the treated tooth and prevent any further issues. Maintaining good oral hygiene practices, including brushing your teeth twice a day with fluoride toothpaste and flossing daily, helps prevent new decay or staining. If you have a crown, avoid chewing on hard objects, which can damage or chip the restoration. If you experience any pain, sensitivity, or changes in the appearance of the treated tooth, contact your dentist immediately. By following these aftercare tips, you can help preserve the results of your dead tooth whitening treatment and enjoy a healthy, bright smile for years to come.
